Integrated Core Facilites & Services

PrecisionGo brings together a coordinated ecosystem of core facilities and specialist services that support integrated precision medicine research and translation. Rather than operating as standalone services, facilities are organised below by their role within a research and translational pathway. Capabilities can be combined across domains to support coherent, multi-modal workflows, coordinated access, and shared governance.

This page is intended to help researchers, clinicians, and collaborators understand what is available and assess feasibility, without needing to navigate multiple systems or make parallel enquiries.

Accessing Our Integrated Core Facilities

PrecisionGo supports users in navigating capabilities across domains, aligning experimental design, analysis, and governance from the outset, and reducing fragmentation across studies. For your convenience, our Core Facilities and services have been arranged to help you navigate what’s useful to you across the research lifecycle:

  • Molecular, cellular and tissue profiling (Genomics, Flow Cytometry, Histology)

  • Data integration and analysis (Bioinformatics)

  • Cellular Imaging and Preclinical Assessment (Imaging, Preclinical Imaging, Electron Microscopy, Bioresources)

  • Biospecimen management (Biobank)

To find out more information on our our latest cutting-edge technologies, see here. To learn more about our capabilities, see here. For examples of real work utilising our technologies and pipelines, see here.

Molecular, cellular, and tissue profiling

Where biological features are measured

Flow Cytometry

Cytometry supports high-dimensional cellular analysis to characterise immune and cellular populations in health and disease. Services are designed to integrate with genomics and bioinformatics pipelines, enabling multi-modal interpretation.

Services include:

  • Flow cytometry and cell sorting

  • Immune phenotyping and functional assays

  • Experimental design and panel optimisation

  • Data acquisition and quality control

  • Integration with downstream analysis

Supports: Studies requiring detailed cellular characterisation and phenotyping.

Learn more here

Genomics

Genomics provides comprehensive molecular profiling to support discovery, characterisation, and validation studies. Services span experimental design through to data generation, with close alignment to bioinformatics and translational pipelines.

Services include:

  • Spatial transcriptomics

    • Visium HD (whole transcriptome tissue profiling

    • Xenium (targeted tissue profiling with gene panels)

  • Single cell multiomics

    • Single cell RNAseq

    • CITEseq (mRNA + protein expression)

    • Single cell immune profiling (TCR/BCR sequencing)

  • Next generation sequencing

    • Whole genome sequencing

    • Transcriptomics

    • Targeted sequencing

  • Targeted biomarker detection

    • Nanostring nCounter System (gene panel expression profiling)

    • Digital PCR (rare target detection and quant)

Supports: Studies exploring genetic and transcriptomic drivers of disease.

Learn more here

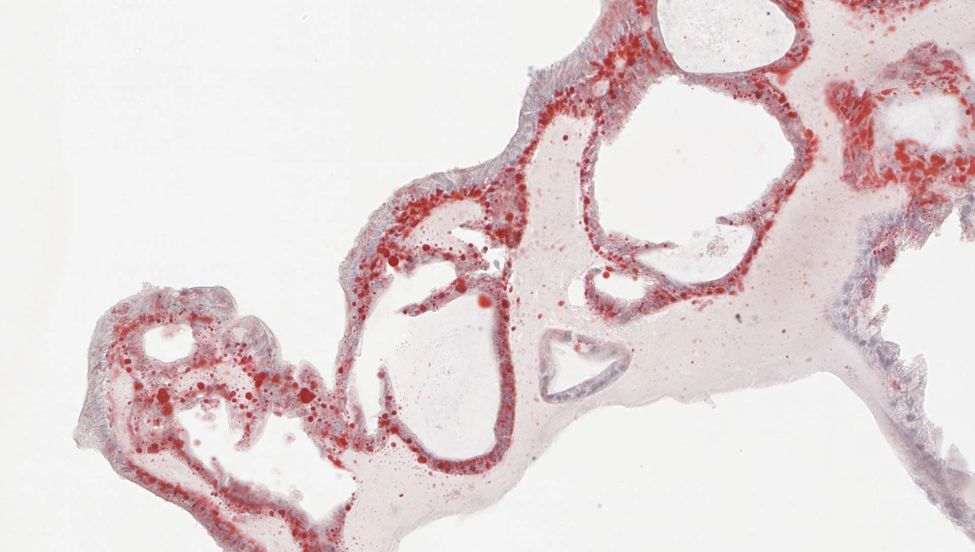
Histology

Histology provides a comprehensive range of histological services, including tissue processing and staining services that preserve morphological and spatial context. These services form a critical bridge between molecular data and tissue-level interpretation, particularly for translational and pathology-informed studies.

Services include:

  • Tissue processing and sectioning

  • Histological staining and immunohistochemistry

  • Sample preparation for spatial analysis and electron microscopy services

  • Quality assessment and interpretation support

  • Integration with imaging and molecular pipelines

Supports: Studies requiring tissue context and structure alongside molecular profiling.
Learn more here

Data integration and analysis

Where data becomes insight

Bioinformatics

Bioinformatics provides analytical expertise to integrate, interpret, and explore data generated across PrecisionGo pipelines. Services focus on enabling insight, reproducibility, and reuse, rather than one-off analyses.

Services include:

  • Multi-omic data integration and analysis

  • Reusable and modular analysis workflows

  • Custom analytical support for specific study contexts

  • Data interpretation and visualisation

  • Support for translational and clinical analysis

Supports: Studies generating complex datasets requiring integrated interpretation.

Learn more here

Cellular Imaging and Preclinical Assessment

Where structure, localisation, and context are visualised

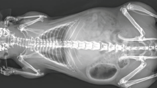
Preclinical Imaging

Preclinical imaging supports in vivo and ex vivo imaging in experimental models, enabling longitudinal and functional assessment. These services help bridge experimental research with translational and clinical questions.

Services include:

  • In vivo imaging of experimental models

  • Functional and longitudinal imaging studies

  • Experimental design and protocol support

  • Data acquisition and analysis

  • Integration with downstream translational workflows

Supports: Studies linking biological mechanisms to functional outcomes.


Learn more here

Imaging

Imaging provides advanced microscopy and imaging services to visualise biological structures and processes across scales. Services are designed to integrate with histology, genomics, and spatial analysis pipelines.

Services include:

  • Advanced microscopy and imaging modalities

  • Image acquisition and processing

  • Experimental design support

  • Integration with molecular and spatial data

  • Data visualisation and interpretation

Supports: Studies requiring spatial or structural insight at cellular and tissue levels.

Learn more here

Electron Microscopy

Electron microscopy provides ultra-high-resolution imaging to examine subcellular structures. These services complement molecular and histological approaches by offering detailed structural insight.

Services include:

  • Sample preparation for electron microscopy

  • Transmission electron microscopy

  • High-resolution structural imaging

  • Data interpretation support

Supports: Studies requiring detailed ultrastructural characterisation.

Learn more here

Bioresources

The Westmead Bioresources Facility is a centralised, state-of-the-art animal facility accessible to users across the Westmead precinct as well as external entities. Its staff are dedicated, experienced and supportive, offering a range of services from everyday husbandry to specialised techniques, including working closely with Westmead Pre-Clinical Imaging and Histology.

Services include:

  • Advice on Animal Ethics Application

  • Animal orders and transport requests

  • Animal care (mice and rats)

  • Animal handling training & specialised animal research services

  • General animal husbandry

  • Technical assistance

  • Weekend monitoring

Supports: cater for all project needs and will provide support and suggestions to streamline all projects undertaken within the facility.
Learn more here

Biospecimen management

Where precious human biospecimens are processed, stored and ethically governed

Biobank

The PrecisionGo Biobank supports the collection, processing, storage, and governance of high-quality biological samples for research and translational use. It places strong emphasis on consent, traceability, and ethical stewardship, ensuring samples remain fit for purpose across discovery, validation, and clinical studies.

Services include:

  • Sample collection, processing, and storage

  • Consent management and ethical governance

  • Sample tracking, quality control, and traceability

  • Access management and reuse of existing collections

  • Support for translational and clinical research workflows

Supports: Studies requiring high-quality, well-governed human samples across the research lifecycle.
Learn more here