The importance of Histology

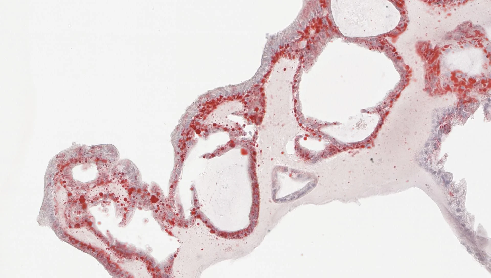
This work is a strong reminder of just how critical high-quality, experienced histology is to maximising the value of research using precious human samples. Our Westmead Histology Facility team, led by Li Ma, has been working closely with a researcher from the Storr Liver Unit at The Westmead Institute for Medical Research to optimise an Oil Red O staining protocol for hepatocyte organoid sections. Careful protocol optimisation like this ensures lipid-containing vacuoles are visualised clearly and consistently, protecting the integrity of downstream analysis and interpretation.

When working with human-derived samples, there is little room for error. Skilled histology transforms limited, irreplaceable material into reliable, information-rich data, making the difference between a sample being merely used and its full scientific value being realised.

Oil Red O is widely applied across biomedical research, including:
- marking lipid-containing vacuoles
- staining liver sections for histological analysis
- quantifying cellular lipid content
- examining aortic lesions associated with atherosclerosis

Images are kindly provided by Dr Romario Nguyen, Storr Liver Unit.

This kind of collaboration highlights how expert core facilities underpin high-quality, ethical, and impactful research.

Previous
Previous

A recent publication

Next
Next

🧊 The freezer shuffle 🧊